어느 날인가 부터 조금만 딱딱해도 이가 아프고, 양치를 하는데 이빨이 살짝 흔들리는 느낌이 들면 마음이 철렁 내려앉습니다. ‘설마…?’ 하고 앞서는 걱정도 무시하고 무심코 넘기고 싶지만, 이런 변화는 몸이 보내는 작은 신호일 때가 많아요. 치아는 겉보기엔 단단해 보여도 잇몸과 뼈가 건강해야만 제자리에서 튼튼하게 버틸 수 있습니다. 오늘은 흔들리는 치아의 원인과 치료 방법을 차분하게 정리해볼게요.
흔들리는 이빨, 왜 생길까?
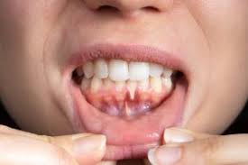
치아는 잇몸·치조골(치아를 잡아주는 뼈)·치주인대로 단단히 고정되어 있습니다. 이 구조 중 하나라도 약해지면 치아가 ‘꿀렁’ 흔들리기 시작해요. 가장 흔한 원인은 바로 치주염(잇몸병)입니다.



한눈에 보는 흔들리는 이빨 원인
| 원인 | 특징 | 치료 방향 |
| 치주염 | 붓기·피·입냄새·흔들림 | 잇몸치료, 스케일링 |
| 잇몸뼈 소실 | 고정력 저하 | 치주수술·뼈이식 |
| 교합 문제 | 한쪽만 아픔 | 교합 조정 |
| 이갈이·악물기 | 아침에 증상 심함 | 마우스피스 |
흔들리는 치아의 주요 원인
1. 치주염(잇몸병) 세균이 잇몸 속에 염증을 일으켜 뼈가 서서히 녹는 병입니다. 초기에는 피·붓기·입냄새가 나타나고, 진행되면 치아가 흔들립니다.
2. 잇몸뼈 약화 나이·흡연·당뇨·유전 등으로 치조골이 줄어들면 치아가 ‘버티는 힘’을 잃고 흔들릴 수 있습니다.
3. 이갈이·이악물기 스트레스를 받아 밤마다 이를 악물면 치아가 과도한 압력을 받으며 약해집니다.
4. 잘못된 교합(물리는 힘 불균형) 치아 하나에 힘이 과도하게 집중되면 그 치아만 단단함을 잃고 흔들릴 수 있어요.
5. 외상·딱딱한 음식 충격이나 강한 힘에 의해 치근(뿌리)이 미세하게 흔들릴 수 있습니다.



흔들리는 이빨 치료 방법
1. 스케일링 + 잇몸 관리
초기 잇몸 염증이라면 스케일링만으로도 흔들림이 어느 정도 회복됩니다.
2. 치근면활택술(중등도)
잇몸 속 깊은 염증을 긁어내어 부드럽게 다듬는 치료입니다.
3. 잇몸수술(심한 치주염)
염증 부위를 열어 직접 치료하거나 손상된 뼈를 채우는 ‘뼈 이식술’을 시행하기도 합니다.
4. 치아 고정치료(스플린트)
여러 치아를 와이어로 연결해 흔들리는 치아를 단단하게 잡아주는 방법입니다.
5. 교합 조정
잘못 물리는 부분을 살짝 다듬어 치아에 가해지는 압력을 분산합니다.
6. 마우스피스(이갈이 예방)
수면 중 치아 압박을 줄여 잇몸 부담을 크게 낮춥니다.



자주 묻는 질문
Q1. 흔들리는 치아가 다시 단단해질 수 있나요?
A1. 초기라면 가능합니다. 하지만 뼈가 많이 녹았다면 전문 치료가 필요해요.
Q2. 집에서 치아를 고정해도 괜찮나요?
A2. 절대 안 됩니다. 잘못 고정하면 염증이 악화될 수 있어요.
Q3. 치주염이면 반드시 빠지나요?
A3. 조기 치료하면 대부분 보존할 수 있습니다.
Q4. 어떤 음식이 안 좋나요?
A4. 매우 딱딱한 음식(오징어·뼈 있는 음식·견과류 대량) 등은 피하는 것이 좋아요.
마무리 하며
흔들리는 치아는 단순한 불편함을 넘어 잇몸 속에서 무언가 진행되고 있다는 중요한 신호입니다. 작은 흔들림이라고 가볍게 넘기지 말고 지금 딱 이 시점에서 치료하면 대부분 회복이 가능합니다. 오늘만큼은 내 잇몸과 치아에게 조금 더 따뜻하게 신경 써주는 날이 되었으면 해요. 🌿
'건강한 습관' 카테고리의 다른 글
| 치은염과 치주염차이는 — 어떤 증상이 시작 신호일까? (0) | 2025.11.22 |
|---|---|
| 치주염 증상 — 잇몸 출혈부터 흔들림까지 초기대처하기 (0) | 2025.11.22 |
| 눈 충혈의 원인 , 아침부터 눈이 빨갛다면? 피로나 결막염 신호일 수 있어요 (0) | 2025.11.20 |
| 간수치가 높으면 나타나는 증상 피로감부터 황달까지 한눈에 보기 (0) | 2025.11.17 |
| 역류성 식도염 자연치료 방법 약만으로 부족할때 생활속 개선하기 (0) | 2025.11.17 |