양치를 하다가 잇몸에서 살짝 피가 배어나오고, 치아가 예전보다 시린 느낌이 들 때가 있습니다. 스트레스 때문일까, 피곤해서 그런 걸까 하고 넘기다 보면 어느 순간 잇몸이 붓고 아픈 단계까지 진행되기도 하죠. 특히, 이럴때 찬물을 마시거나 입을 헹굴때면 으~~ 하고 시리죠. 이런 변화가 반복된다면, 몸이 조용히 보내는 신호일 수 있습니다. 바로 치주염이라는 잇몸 깊은 곳의 염증 때문일지도 몰라요. 오늘은 치주염이 어떤 병인지, 그리고 어떤 증상들이 나타나는지 정확하게 하나씩 짚어볼게요.
치주염이란 무엇일까?
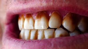
치주염은 치아 주변 잇몸과 뼈에 염증이 생기는 질환입니다. 양치가 부족해 치석과 세균이 잇몸 속으로 파고들고, 그 염증이 점점 깊어지면서 치아를 잡고 있는 뼈가 서서히 손상되죠. 그래서 시간이 지나면 치아가 흔들리거나 통증, 입냄새 등 다양한 신호가 나타납니다. 처음에는 단순한 잇몸 출혈로 시작되지만, 방치하면 치아를 잃을 수도 있는 무서운 질환이에요. 그래서 초기에 알아차리는 것이 무엇보다 중요합니다.



한눈에 보는 치주염 주요 증상 요약
| 증상 | 특징 | 주의 부분 |
| 잇몸 출혈 | 양치·음식 씹을 때 피 | 초기 신호 |
| 잇몸 붓기 | 빨갛고 눌렀을 때 불편함 | 염증 확산 |
| 치아 시림·통증 | 찬 음식, 단 음식 민감 | 뼈 손상 가능성 |
| 입냄새 | 세균 증가로 발생 | 중기 이후 흔함 |



치주염에서 나타나는 대표 증상들
1. 양치할 때 피가 난다
가장 흔한 초기 신호입니다. 잇몸이 부어 있고 염증이 생기면서 작은 자극에도 출혈이 쉽게 생기죠.
2. 잇몸이 붓거나 빨갛게 변한다
염증이 깊어질수록 잇몸이 붓고 밝은 붉은색을 띱니다. 눌렀을 때 약한 통증이나 열감이 느껴질 수 있어요.
3. 입냄새가 심해진다
입안 세균이 증가하면서 특유의 불쾌한 냄새가 생깁니다. 아무리 양치를 해도 금방 냄새가 돌아오면 치주염 가능성이 높아요.
4. 치아가 시리거나 아프다
잇몸이 내려가며 치아 뿌리가 드러나면 찬 것, 단 것에 민감해져 시림과 통증이 반복됩니다.
5. 잇몸이 내려가 치아가 길어 보인다
염증이 지속되면 잇몸이 위축되어 치아가 더 길어 보이기도 합니다. 격한 양치나 잘못된 생활 습관도 영향을 줄 수 있어요.
6. 치아가 흔들린다
이 단계는 이미 중기~말기 치주염일 가능성이 높습니다. 치조골(치아를 붙잡는 뼈)이 소실되며 치아가 흔들려 음식 씹는 것도 힘들 수 있습니다.



치주염이 의심될 때 해야 할 관리
- 잇몸 자극이 적은 부드러운 칫솔 사용
- 치실·구강세정제 꾸준히 사용
- 너무 세게 닦지 않기
- 흡연 시 금연 필수
- 스트레스 완화·규칙적인 수면
- 딱딱한 음식(견과류·오징어 등) 피하기
- 초기라면 스케일링으로 개선 가능
이미 통증·흔들림이 생긴 경우라면 스케일링만으로는 해결되지 않고 전문적인 잇몸 치료가 필요할 수 있습니다.



자주 묻는 질문
Q1. 치주염은 완치되나요?
A1. 초기에 발견하면 회복이 가능하지만, 뼈가 크게 녹은 경우 관리 중심으로 치료합니다.
Q2. 스케일링만으로 좋아질 수 있나요?
A2. 초기 치주염은 가능합니다. 중기 이상은 잇몸 치료가 필요합니다.
Q3. 치아가 흔들리면 무조건 발치인가요?
A3. 아닙니다. 고정치료나 잇몸치료로 살릴 수 있는 경우가 많아요.
Q4. 잇몸이 내려간 건 다시 올라오나요?
A4. 자연적으로는 어렵지만, 잇몸이식수술로 개선 가능할 수 있습니다.



마무리 하며
치주염은 조용히 진행되는 만큼 처음 느껴지는 작은 변화가 정말 소중한 신호일 수 있습니다. 혹시 요즘 양치할 때 피가 나거나, 입안이 쉽게 냄새가 나거나, 치아가 예전보다 약해진 느낌이 든다면 지금이 바로 돌봐야 할 타이밍일지도 몰라요. 작은 관리가 큰 결과를 바꿉니다. 오늘만큼은 내 잇몸과 치아에게 조금 더 따뜻한 시간을 선물해주세요. 🌿



'건강한 습관' 카테고리의 다른 글
| 손가락 관절염 증상 — 뻣뻣함·붓기·통증의 원인을 알고 치료하기 (0) | 2025.11.23 |
|---|---|
| 치은염과 치주염차이는 — 어떤 증상이 시작 신호일까? (0) | 2025.11.22 |
| 흔들리는 이빨 치료 방법 잇몸병부터 교합 문제까지 확인하세요 (0) | 2025.11.22 |
| 눈 충혈의 원인 , 아침부터 눈이 빨갛다면? 피로나 결막염 신호일 수 있어요 (0) | 2025.11.20 |
| 간수치가 높으면 나타나는 증상 피로감부터 황달까지 한눈에 보기 (0) | 2025.11.17 |