거울 앞에 섰을 때 어깨 높이가 미묘하게 다르거나, 옷이 한쪽으로만 돌아가는 느낌이 들 때가 있습니다. 가방을 메면 늘 같은 쪽 어깨가 더 아프고, 오래 앉아 있으면 허리나 등이 쉽게 뻐근해지기도 하죠. 대부분은 “잠깐동안 자세가 안 좋아서 그렇겠지” 하고 넘기지만, 이런 변화가 반복된다면 척추 측만증의 초기 신호일 수 있습니다.
척추 측만증은 눈에 띄는 통증이 없어도 서서히 진행되는 경우가 많아 증상을 알아차리지 못한 채 지내는 사람이 생각보다 많습니다. 오늘은 척추 측만증이 어떤 질환인지, 그리고 몸에서 나타나는 증상들을 일상 속 변화 중심으로 일목 요연하게 정리해드리겠습니다.
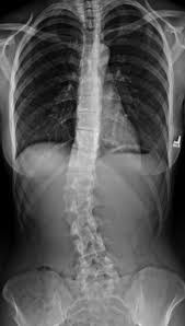
척추 측만증이란 무엇인가요?
척추 측만증은 척추가 정면에서 봤을 때 일직선이 아닌 옆으로 휘어지면서 회전까지 동반되는 상태를 말합니다. 단순히 허리가 굽거나 등이 구부정한 자세 문제와는 다르게, 척추 자체의 구조적 변형이 포함된 질환입니다.
성장기 청소년에게서 많이 발견되지만, 성인이 된 이후에도 자세 불균형, 근육 약화, 퇴행성 변화로 인해 새롭게 나타나거나 악화되는 경우도 적지 않습니다.



척추 측만증의 대표적인 증상
척추 측만증 증상은 통증보다 몸의 비대칭으로 먼저 나타나는 경우가 많습니다. 다음과 같은 변화가 느껴진다면 한 번쯤 체크해볼 필요가 있습니다.
- 어깨 높이가 서로 다름
- 한쪽 날개뼈가 더 튀어나와 보임
- 허리 라인이 좌우 비대칭
- 치마·바지가 한쪽으로 돌아감
- 한쪽 신발 굽만 유난히 빨리 닳음
- 가방을 멜 때 항상 같은 쪽만 불편함
이러한 변화는 거울을 보거나 사진을 찍었을 때 오히려 더 분명하게 느껴지는 경우도 많습니다.



통증으로 나타나는 척추 측만증 증상
초기에는 통증이 거의 없을 수 있지만, 시간이 지나거나 휘어진 각도가 커질수록 통증이 동반될 수 있습니다.
- 한쪽 허리나 등만 반복적으로 뻐근함
- 오래 앉아 있으면 허리 통증 심해짐
- 목·어깨 결림이 한쪽으로만 나타남
- 피로가 쉽게 쌓이고 회복이 더딤
- 숨이 얕아지고 답답한 느낌
특히 성인 척추 측만증의 경우 근육 불균형과 관절 부담으로 인해 만성 통증 형태로 이어지는 경우가 많습니다.



연령대별로 나타나는 증상 차이
척추 측만증은 연령에 따라 증상의 양상이 조금씩 달라집니다.
- 청소년 – 통증은 적지만 어깨·허리 비대칭이 뚜렷
- 청년·중년 – 허리 통증, 자세 불안정, 피로감 증가
- 중장년 이후 – 퇴행성 변화로 통증·신경 증상 동반 가능
그래서 “어릴 때는 괜찮았는데 나이 들수록 더 불편해진다”는 말이 척추 측만증에서 흔하게 나옵니다.



한눈에 알아보는 척추 측만증 증상
ㅁㄴㅇㄹ| 구분 | 주요 증상 |
| 외형 변화 | 어깨·허리 비대칭 |
| 통증 | 한쪽 허리·등 통증 |
| 기능 문제 | 피로감·자세 불안정 |



자주 묻는 질문 (FAQ)
Q1: 자세가 안 좋아서 생긴 것과 측만증은 어떻게 구분하나요?
A1: 단순 자세 문제는 바르게 서면 교정되지만, 측만증은 자세를 바로 잡아도 비대칭이 유지됩니다.
Q2: 통증이 없으면 치료하지 않아도 되나요?
A2: 통증이 없어도 진행될 수 있으므로 정기적인 확인이 중요합니다.
Q3: 성인이 되어도 척추 측만증이 더 심해질 수 있나요?
A3: 네, 퇴행성 변화와 근육 약화로 악화되는 경우가 있습니다.
Q4: 운동으로 좋아질 수 있나요?
A4: 적절한 운동은 진행을 늦추고 통증 완화에 도움이 되지만, 정확한 상태에 맞는 운동 선택이 중요합니다.



마무리 하며
척추 측만증은 어느 날 갑자기 생기는 병이 아니라, 조금씩 몸의 균형이 흐트러지며 신호를 보내는 과정에 가깝습니다. 어깨 높이, 허리 라인, 반복되는 한쪽 통증은 몸이 보내는 충분히 귀 기울일 만한 메시지입니다. 지금 느끼는 작은 불편함을 가볍게 넘기지 않고 한 번 더 살펴보는 것, 그 자체가 척추 건강을 지키는 가장 중요한 시작이 될 수 있습니다.



'건강한 습관' 카테고리의 다른 글
| 지방간 없애는 방법 식단, 체중관리 생활습관만 바꿔도 다릅니다. (0) | 2026.01.10 |
|---|---|
| 갈비뼈 금간 증상 , 숨쉬기 힘들다? 단순 타박상과 이렇게 다릅니다 (0) | 2025.12.20 |
| 왼쪽 옆구리 뒤쪽 통증 원인을 알면 쉽게 대처할수 있어요 (0) | 2025.12.09 |
| 소화불량 가슴답답 목 이물감 함께 나타날 때 원인과 해결법 (0) | 2025.12.09 |
| 배가 살살 아픈 이유 — 가스·장운동·맹장염 초기까지 한눈정리 (0) | 2025.11.28 |